Dental Cases
症例

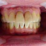
症例 240

前歯の被せ物の劣化 色の変色
前歯の被せ物の劣化 色の変色
  • 2026年04月27日
  • クリアオールセラミッククラウン
術前 下の前歯の被せ物の劣化による変色と破折、歯の本数が多くバランスや形が不自然で被せ物をやり替え...
続きを読む
半導体レーザー オペレーザーフィリオ
半導体レーザー オペレーザーフィリオ
  • 2026年03月31日
  • 半導体レーザーオペレーザーフィリオ
当院では、半導体レーザー《オペレーザーフィリオ》を使用した治療を行っています。 半導体レーザー...
続きを読む
セレック治療
セレック治療
  • 2026年03月23日
  • プレミアムセラミック CERECオムニカム
術前 銀歯が気になる方には、白いセラミックの歯に変える治療があります。 見た目が自然で、金属...
続きを読む
銀歯をセラミックに変える
銀歯をセラミックに変える
  • 2026年03月04日
  • プレミアムセラミック CERECオムニカム
術前 銀歯とは、虫歯を治療した際に使われる保険適用の金属の詰め物や被せ物のことです。 ...
続きを読む
金属を使わない虫歯治療
金属を使わない虫歯治療
  • 2026年02月26日
  • プレミアムセラミック CERECオムニカム
保険適用の金属の歯はできればつけたくないと考えておられる方がとても多いです。 見た目がとても良...
続きを読む
虫歯の時短治療 セレック治療
虫歯の時短治療 セレック治療
  • 2026年02月02日
  • プレミアムセラミック CERECオムニカム
セレック治療は、コンピュータ制御によって歯の修復物を設計・製作するCAD/CAMシステムです。 ...
続きを読む
歯のすき間をマウスピース矯正で治す
歯のすき間をマウスピース矯正で治す
  • 2026年01月24日
  • マウスピース矯正クリアコレクト
歯並びを整えたいけれど、 「目立たない矯正をしたい」 「費用を抑えたい」 と考えて...
続きを読む
いびき防止マウスピース
いびき防止マウスピース
  • 2026年01月06日
  • いびき防止マウスピース
マウスピースと言えば、歯ぎしりを防止するためのアイテムだと思われがちですが、実際にはいびき治療のアイ...
続きを読む
神経の死んだ歯 変色してきた
神経の死んだ歯 変色してきた
  • 2025年12月27日
  • クリアラミネートベニア
術前 神経が死んだ歯は、虫歯や外傷が原因で、歯の変色(黒ずみ・灰色化)や刺激への無反応が主な症状で...
続きを読む
セレック治療
セレック治療
  • 2025年12月12日
  • プレミアムセラミック CERECオムニカム
術前 詰め物の銀歯が取れてしまいました。状態が良ければ再着することが出来ますが、銀歯の下で虫歯が出...
続きを読む
ページ
TOP