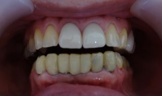
下の前歯の被せ物の劣化による変色と破折、歯の本数が多くバランスや形が不自然で被せ物をやり替えたいとご相談の患者様です。
保険適用の前歯の被せ物(前装冠)は、表面に使っている白い材料が、長年の使用や飲食の影響で少しずつ傷んだり、着色して色がくすんでくることがあります。
時間の経過とともに変色やすり減りが起こりやすい特徴があります。
そのため、見た目の変化が気になってくる方も少なくありません。見た目が気になる場合は、新しく作り替えることで色や形をきれいに整えることができます。
一方、セラミックの被せ物は、自然な透明感があり、変色しにくいのが特徴です。
また、汚れも付きにくく、美しさを長く保ちやすい素材です。
「見た目をより自然にしたい」「白さを長持ちさせたい」という方には、セラミックがおすすめです。


| 処置回数 | 2回から6回程度 |
|---|---|
| 処置費用 | セラミッククラウン1歯¥130000(税込み¥143000)ファイバーコア1歯¥10000(税込み¥11000) |