
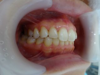
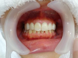
前歯の色をもっと白くしたいとのご相談の患者様です。
ホワイトニングで白くするのには限界があります。ホワイトニングは歯の表面の汚れや黄ばみを分解し、本来のご自分の歯の色より白くすることが出来ますがそれ以上の白さはだせません。元々の歯の状態によっても個人差が出てきます。
ホワイトニングで得られる白さに限界を感じた場合、他の方法で理想の白さに近づけることも可能です。
《ラミネートベニア》
ラミネートベニアとは、歯の表面に薄いセラミックのシェルを貼り付けて、歯の見た目を改善する審美歯科治療の一つです。主に歯の色や形状、すき間などの問題を改善するために使用されます。

患者様の理想とする色で作成できます。ラミネートベニアはセラミックでできているため後戻りしない審美治療です。
短時間で治療が完了することも大きな特徴です。


| 処置回数 | 2回 |
|---|---|
| 処置費用 | ラミネートベニア1歯¥100,000(税込み¥110,000) |