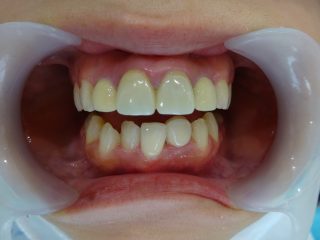
前歯の歯並びとすきっ歯のご相談でご来院の患者様です。
歯並びが悪いと、食べ物がしっかりと噛めなかったり、
歯ブラシが届きにくい部分が多いため、磨き残しから汚れが溜まりやすくなります。
この症例では、気になる部分の2歯のみのご希望でしたのでラミネートベニア法で歯並びと歯の隙間を改善しました。
ラミネートベニアで歯と歯のすき間を埋めて、引っ込んでる歯はセラミックに厚みを持たせデコボコをなくしました。
ラミネートベニアは歯の表面を0.2〜0.5mm削って成形したのち、薄いセラミックを貼り付ける手法です。
セラミックのお色は自然な白から輝くような白さまで選べます。最短で通院2回で完了します。


| 処置回数 | 2回 |
|---|---|
| 処置費用 | ラミネートベニア1歯¥100,000(税込み¥110,000) |