歯並びを整えたいけれど、
「目立たない矯正をしたい」
「費用を抑えたい」
と考えている方におすすめなのが当院のクリアコレクトのマウスピース矯正です。
クリアコレクトは、透明なマウスピースを使用する矯正方法で、ワイヤー矯正に比べて目立ちにくく、取り外しも可能なため、食事や歯磨きのストレスが少ないのが特徴です。
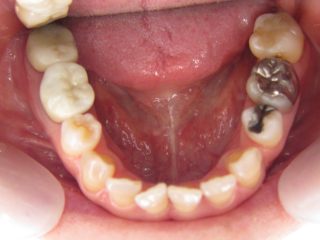
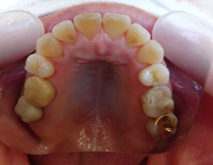
こちらの患者様は歯のすき間が気になるとのことでマウスピース矯正をご希望されました。


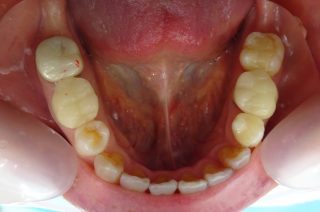
歯と歯の間のすき間をつめて 下の前歯の歯並びを改善しました。
患者の歯型をスキャンしてデジタル技術を活用した精密な治療計画を立て、カスタムメイドのマウスピースを作成します。
患者は一定期間ごとにマウスピースを交換しながら、少しずつ歯を理想の位置へ移動させていきます。
また、クリアコレクトは装着時間を守ることが治療成功のカギとなります。計画通りに歯が動くよう、1日22時間以上の装着をします。