
随分前にテトラサイクリン歯により、歯の色をお悩みでラミネートベニアをやられた患者様です。
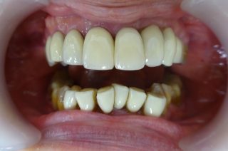
ラミネートベニアと歯の境目、前歯の先端の色の違いが気になってきたとご相談でした。
最初は歯と歯の間にすき間がなくても、歯は加齢と共に少しずつ動き、歯並びが変化することがあります。
そのため今まで気にならなかったセラミックと歯の境目が目立つようになってしまいました。

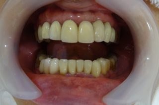
ラミネートベニアをセラミッククラウンに変えることにより、上から見てもセラミックと歯の境目がわからなくなりました。
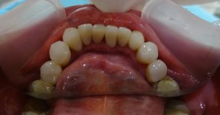
同時に歯並びも整え、前歯の裏側に歯石が付きやすかったのが、歯磨きがしやすく清潔を保ちやすい状態になりました。
セラミッククラウン【リスクや副作用について】
・保険適用外です。
・強い衝撃などでまれに割れたり欠けたりすることがあります。
料金:1歯130,000円(税別)※土台ファイバーポスト+10,000円(税別)
通院:通院2〜6回程度


| 処置回数 | 2回から5回程度 |
|---|---|
| 処置費用 | セラミッククラウン1歯¥130000(税込み¥143000)ファイバーコア1歯¥10000(税込み¥11000) |