
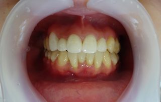
前歯の歯並びでご相談の患者様です。
中心から2番目の歯が奥に入っているため真ん中の2本の歯が大きく感じられます。歯が並ぶスペース不足のため歯が重なったり、前後にずれたりしています。
当院の歯並びの改善には、マウスピース矯正とセラミック矯正等がございます。
マウスピース矯正は歯並びを整えることが出来ても、歯の色は変えれません。歯並びと同時に歯のお色を明るくされたい方はセラミック矯正が最適です。
セラミック矯正とは、通常の矯正治療とは違い、歯を動かすのではなく歯を削りその上にセラミッククラウンを被せ、歯並びをきれいにする治療方法です。
歯並びだけでなく、歯の色や形も理想の歯にすることが可能となっています。
セラミッククラウン【リスクや副作用について】
・保険適用外です。
・強い衝撃などでまれに割れたり欠けたりすることがあります。
料金:1歯130,000円(税別)※土台ファイバーポスト+10,000円(税別)
通院:通院2〜6回程度


| 処置回数 | 2回から6回程度 |
|---|---|
| 処置費用 | セラミッククラウン1歯¥130000(税込み¥143000)ファイバーコア1歯¥10000(税込み¥11000) |