マウスピースと言えば、歯ぎしりを防止するためのアイテムだと思われがちですが、実際にはいびき治療のアイテムとしても利用されています。
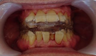
いびき防止マウスピースは、下あごを前方に固定して気道を広げ、舌の沈み込みを防ぐことで、いびきや睡眠時無呼吸症候群を軽減する効果が期待できます。
歯型に合わせて作られるためフィット感が良く、市販のものより効果が高いです。
いびき防止マウスピース(スリープスプリント)は、寝る前に装着するだけです。

一度マウスピースを作成してもらえば、何度もクリニックに通う必要がなくなるため、移動や診察の手間がかかりません。
水洗いなどで簡単にマウスピースの維持管理ができます。
いびきがひどい場合や、日中の眠気などで悩んでいる場合は、まずは歯科医院を受診し、自分に合ったマウスピースの相談をしてみることをおすすめします。